edición general
168 meneos
5597 clics
Visita a la fábrica de colores de Pantone [eng]

Visita a la fábrica de colores de Pantone [eng]  

Los diseñadores y artistas de todo el mundo usan las guías de color Pantone para estar seguros que el azul es azul. Como una enciclopedia del color,Pantone es un estándar de facto, que se crea en la fábrica situada en Carlstadt, New Jersey.
71 97 1 K 340 ocio
71 97 1 K 340 ocio
189 meneos
8483 clics
El partido menos votado del 20D: “Hay quien no quiere a un ‘Mohamed’ en su lista”

El partido menos votado del 20D: “Hay quien no quiere a un ‘Mohamed’ en su lista”

Fue el escritor argentino Jorge Luis Borges quien afirmó, ante cientos de jóvenes que le abucheaban por criticar la dictadura militar progresista del Perú, una frase que pasó a la posteridad: “¿No saben ustedes que los caballeros solo defendemos las causas perdidas?”. En las elecciones del 20D sólo han obtenido 110 votos, pero lo toman con deportividad: “Para que haya un primero, debe existir un último”.
164 meneos
1802 clics
Radio facsímil, los periódicos que se distribuían vía FM

Radio facsímil, los periódicos que se distribuían vía FM

Así era la radio facsímil, un invento de William Finch con el que los periódicos de los años 30 retransmitían sus boletines de noticias vía FM hasta aparatos domésticos capaces de imprimir noticias, imágenes, publicidad, etc.
168 meneos
6952 clics
Una foto de Marilyn gana una votación popular y entra en la Galería Nacional de los EE UU

Una foto de Marilyn gana una votación popular y entra en la Galería Nacional de los EE UU

Una foto de la sensual y dulce actriz tomada por Philippe Halsman en 1952 será añadida a la colección 'Reconocimiento' de la pinacoteca de Washington. En una votación abierta al público, Marilyn ganó a Rita Hayworth y Mae West, otras dos actrices míticas que, como Monroe, nunca fueron nominadas al Oscar. Marilyn 'flirteaba con el periodista, con mi ayudante y conmigo. Era su talento: sabía hacer...
152 meneos
1932 clics
Estos son los 63 concellos gallegos con más vacas que personas

Estos son los 63 concellos gallegos con más vacas que personas  

Ya no somos el país del millón de vacas que decía Manuel Rivas, pero aún son bastantes. A pesar de la crisis del sector ganadero, con el consiguiente cierre de explotaciones, había en Galicia en 2014 (último año con datos publicados) 549.094 vacas registradas, según los datos del Sitran (Sistema Integrado de Trazabilidade Animal) realizado por la Consellería do Medio Rural da Xunta y que recoge el Instituto Galego de Estatística.
142 meneos
3919 clics

Parásitos de dinosaurios emplumados atrapados en ámbar Cretácico (ENG)  

Actualmente, las garrapatas se encuentran entre los ectoparásitos que más se alimentan con sangre, pero se especulaba sobre sus hábitos alimenticios y sus huéspedes. Aquí, informamos de una evidencia directa e indirecta en ámbar cretácico de 99 millones de años que muestra que las garrapatas se alimentaban de sangre de dinosaurios emplumados.
157 meneos
2681 clics
La vestimenta de Ötzi se elaboró con cinco especies animales

La vestimenta de Ötzi se elaboró con cinco especies animales

Oso pardo, corzo, oveja, vaca y cabra. Estas cinco especies animales fueron utilizadas para fabricar las prendas de vestir que llevaba la momia de Ötzi, el hombre que vivió hace 5.300 años y que fue encontrado en los Alpes en 1991 a más de 3.000 metros de altitud.
143 meneos
675 clics
Cassini descubre que los anillos de Saturno afectan a su atmósfera

Cassini descubre que los anillos de Saturno afectan a su atmósfera

Aunque ahora descanse en paz, después de su feroz deceso este septiembre pasado, la famosa Cassini sigue siendo de gran utilidad. Las observaciones hechas por la sonda en sus últimos meses aún siguen siendo estudiadas por los científicos. En un nuevo análisis de los datos, se ha descubierto que la región cargada eléctricamente de la atmósfera de Saturno (ionósfera) es significativamente más compleja y variable de lo que se pensaba. El estudio fue publicado en la revista Science.
122 meneos
2228 clics
Blue Origin prueba su cápsula suborbital con éxito, así fue su lanzamiento

Blue Origin prueba su cápsula suborbital con éxito, así fue su lanzamiento  

Durante el lanzamiento, la cápsula alcanzó una altitud de 99,39 kilómetros, y en ella se encontraba situado un maniquí que fue grabado durante toda la secuencia de lanzamiento y aterrizaje para probar la seguridad del procedimiento. Y es que, aunque Blue Origin no ha explicado como funcionará su negocio espacial para enviar personas al espacio, la compañía de Jeff Bezos sí que ha publicado un nuevo vídeo en el que se muestra el viaje de su Crew Capsule 2.0 desde el interior.
154 meneos
6930 clics
"Silla ponible" pensada para los cirujanos

"Silla ponible" pensada para los cirujanos

La silla, obra de la empresa Nitto, consiste en una estructura de 78 centímetros de altura y 5 kilos de peso que se ajusta a piernas y glúteos, permitiendo al usuario estar de pie y caminar con normalidad mientras le brinda apoyo para sentarse cuando quiera. El dispositivo cuenta con un cojín que presiona la espinilla y el muslo, lo que hace que el peso se disperse en esa dirección para estabilizar el cuerpo, y al no incorporar ningún elemento eléctrico, no interfiere con los aparatos inalámbricos de los centros de salud.
175 meneos
4246 clics
Las Puertas Caspias, la legendaria barrera de fortificaciones que defendían el paso a través del Cáucaso

Las Puertas Caspias, la legendaria barrera de fortificaciones que defendían el paso a través del Cáucaso

Aunque también se las conoce popularmente como Puertas de Alejandro, debido a la literatura medieval (como el Romance de Alexandre del Seudo-Calístenes) que atribuía a éste su construcción siguiendo a Josefo, lo más probable es que las Puertas Caspias se levantasen durante el siglo VI, por la dinastía sasánida.
129 meneos
3384 clics
Existió otra Iberia en Europa

Existió otra Iberia en Europa

Iberia también conocida con el nombre de Iveria, era el nombre usado por los antiguos griegos y romanos para designar al antiguo reino georgiano de Kartli (siglo IV a. C. a siglo V d. C.), que ocupaba el este y el sudeste de la actual República de Georgia.
163 meneos
3773 clics
El primer cártel de droga data del año 1763 y desencadenó dos guerras

El primer cártel de droga data del año 1763 y desencadenó dos guerras

Cuando pensamos en un cártel de droga enseguida se nos viene a la cabeza imágenes de la serie Narcos o, en cualquier caso, escenas de tráfico de drogas en el siglo XX y principios del XXI. Sin embargo, si le ponemos un par de comillas al término "cártel de drogas", entonces éste tuvo lugar por primera vez en el año 1763.
170 meneos
5414 clics
Abejas australianas construyen un nido en espiral

Abejas australianas construyen un nido en espiral  

Lo cierto es que la ciencia aún es incapaz de explicarlo. Han descubierto que esta peculiar estructura permite aprovechar mejor el espacio y que circule el aire por toda la torre. Pero aún no hay datos que permitan saber si este patrón espiral es algo que ha surgido de forma aleatoria, o si se trata de un conocimiento que ha sido transmitido generación a generación. Cada capa de esta espiral está formado por pequeñas vainas circulares que reciben el nombre de células de cría. Cuando las obreras han terminado una, comienzan inmediatamente a...
168 meneos
5786 clics
Imagen del Día de la NASA: Trazos de nubes y contaminación de naves que cruzan el Atlántico frente a Portugal y España

Imagen del Día de la NASA: Trazos de nubes y contaminación de naves que cruzan el Atlántico frente a Portugal y España  

La imagen del día de la NASA publicada el 23 de enero nos lleva a las costas de Portugal y España. Los barcos que surcan el Océano Atlántico producen este mosaico de rastros de nubes brillantes que cruzan la costa de Portugal y España. Las nubes angostas, conocidas como pistas de barco, se forman cuando el vapor de agua se condensa alrededor de diminutas partículas de contaminación que los barcos emiten como gases de escape o que se forman a partir de dichos gases del escape. Original en ingles: go.nasa.gov/2Bmg0Dk
72 96 2 K 296 ocio
72 96 2 K 296 ocio
137 meneos
1785 clics
El cerebro del pájaro carpintero acumula una proteína asociada con el daño cerebral en humanos

El cerebro del pájaro carpintero acumula una proteína asociada con el daño cerebral en humanos

"Ha habido todo tipo de avances tecnológicos y de seguridad en los equipos deportivos basados en las adaptaciones anatómicas y la biofísica del pájaro carpintero, suponiendo que no se lesiona el cerebro por picotear. Lo extraño es que nadie ha mirado el cerebro de un pájaro carpintero para ver si hay algún daño",
122 meneos
2998 clics
Phantasma: Una pesadilla convertida en saga de terror

Phantasma: Una pesadilla convertida en saga de terror

Una señal que identifica a los que nos criamos cinematográficamente alquilando cintas Beta y VHS, es la cantidad ingente de películas de bajo presupuesto que conocimos gracias a los anuncios incluídos antes de cada pequeña joya que podíamos ver..
222 meneos
2714 clics
Envío erróneo o controvertido, por favor lee los comentarios.
Cortar la cabellera

Cortar la cabellera

Cortar cabelleras no era costumbre natural de los pieles rojas. Esta tribu india copió de los franceses esta acción, que exigían a sus mercenarios presentar el cuero cabelludo de cada indio muerto para poder cobrar la recompensa.
80 142 10 K 334 cultura
80 142 10 K 334 cultura
191 meneos
3750 clics
La palloza, ejemplo de ecodiseño y vivienda sostenible con miles de años

La palloza, ejemplo de ecodiseño y vivienda sostenible con miles de años

Largos meses de invierno, bajo tormentas de nieve, vivían las familias sepultadas en estos nidos de paja, al amor de la lumbre. Así lo cuenta un testimonio de 1935, como si se tratara de la visita a una tribu o de una expedición a la Prehistoria: “Entramos en una de ellas (…). Quedamos un momento parados en el centro, hasta acostumbrar nuestros ojos a la penumbra llena de humo que nos hacía toser. Una docena de campesinos, mujeres, hombres y niños. Caras angulosas de color apretado y fuerte, blaquísima dentadura.
147 meneos
717 clics
Dos detenidos por participar en los homenajes a la etarra Belén González

Dos detenidos por participar en los homenajes a la etarra Belén González

La Guardia Civil ha lanzado un operativo este martes en el que se han practicado varias detenciones, entre ellas la del histórico etarra José Antonio López Ruiz, ‘Kubati’, han informado a Europa Press fuentes de la lucha antiterrorista. Están acusados de enaltecimiento del terrorismo por participar en el homenaje que se llevó a cabo el pasado mes de noviembre en honor de su compañera en ETA Belén González Peñalba, que había fallecido días antes.
159 meneos
4564 clics
Así es la vida cuando eres el único joven del pueblo

Así es la vida cuando eres el único joven del pueblo

Pablo, Rafael o Roberto son algunos de los más de 600 jóvenes que desafían a la despoblación en los pueblos de Guadalajara. Un informe de la Diputación de Guadalajara señala que sólo el 1,7% de los jóvenes viven en municipios de la provincia con menos de 100 habitantes
164 meneos
2215 clics
El pájaro que guía a humanos y animales hasta la miel a cambio de las sobras

El pájaro que guía a humanos y animales hasta la miel a cambio de las sobras

La miel, ese fluido viscoso y dulce que producen las abejas a partir, sobre todo, del néctar de las flores ha constituido un alimento fundamental para el Hombre ya desde tiempos prehistóricos, dando origen a una actividad como la apicultura.
158 meneos
5134 clics
La magnitud de los agujeros negros representada gráficamente (en la medida de lo posible)

La magnitud de los agujeros negros representada gráficamente (en la medida de lo posible)

Un par de vídeos que tratan de representar gráficamente y de forma “comprensible” cuál es la masa de algunos de agujeros negros.
130 meneos
2632 clics
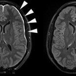
Así se recupera tu cerebro tras un golpe en la cabeza

Así se recupera tu cerebro tras un golpe en la cabeza  

Después de una lesión en la cabeza, la membrana protectora del cerebro se puede reparar con sorprendente rapidez gracias a la ayuda de un organizadísimo ejército de células inmunitarias. En un nuevo estudio, un equipo de los NHI observaron en tiempo real cómo estas células asumían trabajos para reparar el revestimiento dañado del cerebro, también conocido como las meninges. Estos resultados pueden ayudar a proporcionar pistas sobre el proceso de cura de lesiones leves consecuencia de un golpe leve. Pero no tanto con un segundo traumatismo.
184 meneos
8598 clics
Mujer parcialmente "succionada" cuando la ventana del avión se rompe a mitad de vuelo [EN]

Mujer parcialmente "succionada" cuando la ventana del avión se rompe a mitad de vuelo [EN]

El avión aterrizo con seguridad en Filadelfia. El motor izquierdo del jet explotó poco después del despegue, dijeron los pasajeros. Trozos de metralla volaron hacia el fuselaje del avión y al menos una ventana se rompió despresurizando el avión, dijeron los pasajeros y la FAA. Un vuelo de Southwest Airlines aterrizó de manera segura en Filadelfia el martes luego de que el jet se despresurizara violentamente cuando una parte de un motor voló y rompió una ventana, según las cuentas de los pasajeros y las conversaciones del piloto con el control

menéame