edición general
482 meneos
2337 clics

Los Mossos entran en la Universidad de Lleida para detener a Pablo Hasél

Los Mossos d'Esquadra han entrado sobre las seis y media de la mañana en la Universitat de Lleida para detener a Pablo Hasél. El rapero se había encerrado ayer en el rectorado de la Universidad de Lleida después de negarse a entrar voluntariamente en la prisión y mientras esperaba que la Audiencia Nacional resolviera su recurso para evitar ingresar en el centro penitenciario. Unas diez furgonetas de los Mossos están ya dentro del recinto. Los simpatizantes del rapero han montado barricadas para impedir la entrada de las fuerzas policiales.
1936 meneos
3071 clics
Dos tribunales constatan que ni Casado ni Cifuentes cursaron sus másters pero se libran de las consecuencias judiciales

Dos tribunales constatan que ni Casado ni Cifuentes cursaron sus másters pero se libran de las consecuencias judiciales

Dos títulos universitarios sin esfuerzo académico alguno. Sin ir a clase, sin presentarse a los exámenes, sin que haya rastro de ningún trabajo. Cristina Cifuentes y Pablo Casado se vieron envueltos en el mismo escándalo en el año 2018, cuando se reveló que ambos habían obtenido el título de posgrado sin pruebas de que hubiesen hecho nada por merecerlo.
647 1289 11 K 390 politica
647 1289 11 K 390 politica
138 meneos
2075 clics
Especies endémicas, autóctonas, alóctonas, exóticas e invasoras ¿Sabemos cuál es cual?

Especies endémicas, autóctonas, alóctonas, exóticas e invasoras ¿Sabemos cuál es cual?

Las diferencias entre especie o vegetación endémica, vegetación autóctona, vegetación exótica o aloctona y vegetación invasora.
204 meneos
7911 clics
Misha Osipov vs Anatoly Karpov

Misha Osipov vs Anatoly Karpov

Partida de Misha Osipov, de cuatro años, contra Anatoly Karpov.
96 108 1 K 318 ocio
96 108 1 K 318 ocio
628 meneos
642 clics
Cospedal, en el punto de mira de la investigación de la 'Kitchen' tras el testimonio del exchófer de Bárcenas

Cospedal, en el punto de mira de la investigación de la 'Kitchen' tras el testimonio del exchófer de Bárcenas

La investigación de la Kitchen apunta cada vez más hacia María Dolores de Cospedal. El antiguo chófer de Luis Bárcenas, Sergio Ríos, ha confesado que proporcionó información del antiguo contable del PP a la entonces secretaria general del partido a través de un policía de su confianza, el comisario Andrés Gómez Gordo, a quien Cospedal había nombrado director general de Documentación y Planificación durante su mandato en la Junta.
243 meneos
2732 clics
"Sus hijos ven porno, no mareen la perdiz y asuman este hecho" (Entrevista)

"Sus hijos ven porno, no mareen la perdiz y asuman este hecho" (Entrevista)

La portada del último libro de José Luis García, 'Niños y niñas pornográficos', ilustra un niño visionando porno. Sin concretar qué elemento cometió la infracción, la plataforma Amazon ha retirado por «infringir las pautas de contenido» esta obra que es la primera de cuatro que conforman el programa educativo acerca del consumo de porno violento en menores y jóvenes.
243 meneos
786 clics
En España habrá, al menos, 4 plantas que fabriquen vacunas del coronavirus

En España habrá, al menos, 4 plantas que fabriquen vacunas del coronavirus

El secretario general de Industria y de la Pyme, Raúl Blanco, ha indicado que "en España va a haber, al menos, cuatro plantas de la industria farmacéutica que van a fabricar las vacunas del coronavirus" y "eso es una buena noticia". Blanco ha señalado este lunes que, además, "en España hay proyectos, hay empresas con capacidad para fabricar no sólo la vacuna del coronavirus, sino ampliar el rango en el que estaban trabajando", primero en animales y luego entrar en vacunación humana.
162 meneos
2819 clics
Las comercializadoras de Texas regalan hasta 150 dólares a sus clientes para que se vayan a la competencia

Las comercializadoras de Texas regalan hasta 150 dólares a sus clientes para que se vayan a la competencia

En el estado de Texas han saltado las alarmas. Estos días el precio de la electricidad se ha convertido en una auténtica montaña rusa. La ola de frío que arrasa EEUU ha dejado temblando el mix de generación eléctrica, con muchos problemas de suministro y una demanda por las nubes. Resultado, que el precio de la electricidad marcado en ERCOT, el operador del sistema eléctrico de Texas se ha disparado por encima de los 8.600 dólares/MWh o lo que es lo mismo, más de 7.100 €/MWh.
148 meneos
5920 clics
Los últimos mil millones de años del movimiento de la placa tectónica de la Tierra en solo 40 segundos [ENG]

Los últimos mil millones de años del movimiento de la placa tectónica de la Tierra en solo 40 segundos [ENG]

La animación muestra continentes verdes cruzando los océanos, que están representados en blanco. La Ma en la parte superior del video es un lenguaje geológico para 1 millón, por lo que 1000 Ma es hace mil millones de años. Las diversas líneas de color representan diferentes tipos de límites entre las placas tectónicas: las líneas azul-violeta representan límites divergentes, donde las placas se dividen; los triángulos rojos indican límites convergentes, donde las placas se mueven juntas; y las curvas de color gris verdoso muestran los límites..
435 meneos
4663 clics

Tweet que recopila casos de abuso policial de la última semana  

Tweet que recopila casos de abuso policial de la última semana
175 meneos
1940 clics
Detienen a "el Piojo", fugado de la cárcel de Valdemoro

Detienen a "el Piojo", fugado de la cárcel de Valdemoro

La Policía Nacional ha detenido Jonathan Moñiz, alias «el Piojo», que se fugó hace más de dos meses junto con su hermano Miguel Ángel de la cárcel madrileña de Valdemoro, han informado a Efe fuentes policiales. Han sido agentes de la Brigada de Policía Judicial los que han practicado la detención en Madrid, aunque de momento no han trascendido más detalles. Relacionada: www.meneame.net/story/peligroso-alunicero-piojo-hermano-fugan-carcel-v
602 meneos
1037 clics
La Comunidad de Madrid pide a la Fiscalía que investigue la marcha neonazi de Madrid

La Comunidad de Madrid pide a la Fiscalía que investigue la marcha neonazi de Madrid

El Ejecutivo regional pide que se determinen si se realizaron arengas antisemitas que pudiesen ser constitutivas de delito. (...) Una de las oradoras asistentes a la concentración se dirigió a los presentes defendiendo que “El judío es el culpable. El enemigo siempre va a ser el mismo”. Las “graves acusaciones” han sido rechazadas por la Federación de Comunidades Judías de España (FCJE), que también se ha dirigido a la Fiscalía de Delitos de Odio para que investigue de oficio los hechos
455 meneos
1073 clics
Francia multa a Google con 1,1 millones de euros por falsear los ranking de hoteles

Francia multa a Google con 1,1 millones de euros por falsear los ranking de hoteles

La Dirección General de Competencia, Consumo y Control del Fraude de Francia, dependiente del Ministerio de Finanzas, ha multado a las filiales de Google en Irlanda y Francia con una sanción de 1,1 millones de euros por un sistema “fraudulento” de clasificar los hoteles en su buscador.
321 meneos
2927 clics
Liberan en EE.UU. a un preso que pasó 68 años en prisión tras ser condenado a cadena perpetua cuando era un adolescente

Liberan en EE.UU. a un preso que pasó 68 años en prisión tras ser condenado a cadena perpetua cuando era un adolescente

Joseph Ligon fue condenado cuando tenía 15 años por su papel en una serie de robos y asaltos perpetrados por un grupo de adolescentes que dejaron dos muertos y seis heridos por arma blanca.
396 meneos
877 clics
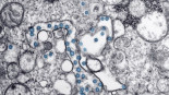
El CSIC obtiene un nanomaterial que elimina el coronavirus y puede aplicarse en mascarillas y tejidos

El CSIC obtiene un nanomaterial que elimina el coronavirus y puede aplicarse en mascarillas y tejidos

Un equipo de investigadores del Consejo Superior de Investigaciones Científicas (CSIC) ha desarrollado un nuevo nanomaterial, constituido por nanopartículas de cobre, que inhibe las proteínas del coronavirus SARS-CoV-2, causante de la Covid-19, y bloquea su propagación. El material, que ya ha sido protegido mediante patente, es aplicable en recubrimiento de mascarillas quirúrgicas, en tejidos de protección de uso hospitalario, y en recubrimiento de superficies de contacto, como barandillas o pomos en el transporte público.
318 meneos
8613 clics
Me infiltro en la masterclass de inglés por el meme

Me infiltro en la masterclass de inglés por el meme  

El youtuber Lord Draugr se infiltra esta vez en la masterclass de Anxo Pérez, para conocer el método para aprender inglés de 8belts. Esto es periodismo independiente (sic).
160 meneos
6107 clics
Robert Shiller: “Tenemos tres burbujas simultáneas, y eso me preocupa”

Robert Shiller: “Tenemos tres burbujas simultáneas, y eso me preocupa”

"La narrativa conduce el mundo, y no al revés; y la narrativa es contagiosa ”, resume Robert Shiller, catedrático de la Universidad de Yale en Connecticut (Estados Unidos) y premio Nobel de Economía en el 2013, cuyo nuevo libro, Narrativas económicas (Deusto), acerca las ciencias económicas a la crítica literaria y la epidemiología.
544 meneos
2199 clics
Los principales sindicatos policiales critican la prisión para los agentes de Linares

Los principales sindicatos policiales critican la prisión para los agentes de Linares

JUPOL, SUP, CEP, UFP y SPP condenan "sin matices" la agresión, pero consideran que es "un hecho puntual" y piden respetar la presunción de inocencia hasta que haya una setencia firme
590 meneos
1322 clics
China envía 4 superbarcos de pesca a Liberia cuya capacidad es 12.000 Tn. al año; supone el fin de comunidad local

China envía 4 superbarcos de pesca a Liberia cuya capacidad es 12.000 Tn. al año; supone el fin de comunidad local

La llegada de seis superarrastradores chinos a Monrovia, Liberia, en junio desencadenó indignación entre los pescadores a pequeña escala del país. Estos superarrastradores pueden atrapar 12 000 toneladas de pescado al año, lo que es casi el doble de pesca sostenible de especies claves del que dependen los pescadores locales, lo que podría diezmar las existencias pesqueras vitales en apenas unos años. Pescar sin licencia tiene una sanción de 1mill. dólares, pero la falta de vigilancia permite que se produzcan hecho similares.
197 393 6 K 389 cultura
197 393 6 K 389 cultura
182 meneos
6983 clics
¿Por qué parecemos maleducados al hablar en otra lengua?

¿Por qué parecemos maleducados al hablar en otra lengua?

El peculiar castellano de algunos clientes no impide a mi panadera, una joven ecuatoriana, dar curso a los pedidos. Recuerdo, sin embargo, una ocasión singular. Una mujer de apariencia eslava se acercó al mostrador y, antes de que pudiera pronunciar palabra, recibió este saludo: “A usted no la atiendo, que es una maleducada”. “¿Yo?”, se sorprendió la clienta, confirmando su procedencia con el acento. “Es que siempre me quiere mandar y me trata como a su criada”, explicó la dependienta.
423 meneos
1355 clics
Multadas dos mujeres por desobedecer a los guardias civiles que custodian la casa de Iglesias y Montero

Multadas dos mujeres por desobedecer a los guardias civiles que custodian la casa de Iglesias y Montero

Un juzgado de Madrid ha condenado a una mujer y a su hija con una multa de 1.080 euros por desoír las órdenes de la Guardia Civil cuando protestaban frente a la casa del vicepresidente Pablo Iglesias y la ministra de Igualdad, Irene Montero, en la localidad madrileña de Galapagar. Las dos mujeres, según la sentencia, incluso increparon y chillaron a los agentes cuando les pidieron que se apartasen cuando intentaban impedir que hiciesen un perímetro de seguridad en torno a la vivienda. Las dos se bajaron de un coche y empezaron a increpar a…
483 meneos
5691 clics
Envío erróneo o controvertido, por favor lee los comentarios.
Carla Antonelli responde a un diputado de Vox en la Asamblea de Madrid por dirigirse a ella en masculino

Carla Antonelli responde a un diputado de Vox en la Asamblea de Madrid por dirigirse a ella en masculino

"Basta ya de transfobia" La diputada socialista ha pedido el amparo de la presidenta de la Comisión de políticas sociales.
211 272 52 K 401 politica
211 272 52 K 401 politica
225 meneos
4073 clics
De cuando LSD significaba otra cosa: el día en que el Reino Unido pasó a un sistema monetario decimal

De cuando LSD significaba otra cosa: el día en que el Reino Unido pasó a un sistema monetario decimal

Hoy, 15 de febrero de 2021, se cumplen 50 años desde que el Reino Unido decidió colectivamente dejar el LSD. Es el aniversario del Decimalization Day, D-Day o Día Decimal, el día en el que el Reino Unido pasó a tener un sistema monetario hipercomplejo basado en peniques, chelines y libras a uno decimal. Veamos cómo y por qué decidieron hacerlo.
350 meneos
1250 clics
El juez que ridiculizó a los epidemiólogos pide perdón y reconoce su labor: "Fue desafortunado"

El juez que ridiculizó a los epidemiólogos pide perdón y reconoce su labor: "Fue desafortunado"

El presidente de la Sala de lo Contencioso-administrativo del TSJPV, Luis Garrido, ha pedido perdón a los epidemiólogos por su «desafortunada expresión», al asegurar que eran médicos de cabecera «con un cursillo» y ha reconocido su «acreditada formación». Garrido fue uno de los magistrados que permitió la reapertura de la hostelería vasca en municipios en ‘zona roja’ por alta incidencia de la covid-19, en contra de lo establecido por decreto del Gobierno Vasco.
258 meneos
570 clics
Delegada del Gobierno pide calma a la ciudadanía de Linares y valora el "magnífico servicio" del CNP

Delegada del Gobierno pide calma a la ciudadanía de Linares y valora el "magnífico servicio" del CNP

La delegada del Gobierno en Andalucía, Sandra García, ha solicitado este lunes "sensatez y calma" a la ciudadanía de Linares (Jaén) tras los altercados ocurridos en la ciudad después de la agresión a un hombre y su hija por parte de dos agentes de la Policía Nacional que estaban fuera de servicio, al tiempo que ha valorado el "magnífico servicio público" de este cuerpo.

menéame