edición general
276 meneos
723 clics
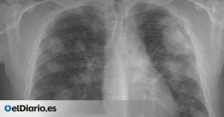
Jordi Figuerola, experto en virus del Nilo: "Los mosquitos infectados se matan en invierno, cuando muere gente ya es tarde"

Jordi Figuerola, experto en virus del Nilo: "Los mosquitos infectados se matan en invierno, cuando muere gente ya es tarde"

El investigador de la Estación Biológica de Doñana explica que no tiene que haber pánico por los contagios, pero deja claro que las autoridades deben tomar medidas de prevención: “Es importante que allí donde ya se han registrado casos se desarrollen planes de vigilancia cuanto antes” El virus del Nilo Occidental es un patógeno emergente capaz de afectar de gravedad al ser humano, aunque el 99% de las infecciones son asintomáticas o leves. En España lleva dos décadas extendiéndose y este año se han detectado ya 17 casos, incluidos dos pacientes
113 163 1 K 513 cultura
113 163 1 K 513 cultura
446 meneos
483 clics
Embajadores EEUU y Reino Unido no asistirán a ceremonia de Nagasaki por ausencia de Israel

Embajadores EEUU y Reino Unido no asistirán a ceremonia de Nagasaki por ausencia de Israel

El Embajador de Estados Unidos en Tokio, Emanuel Rahm, y la Embajadora británica en el país asiático, Julia Longbottom, no participarán en la Ceremonia de la Paz en Nagasaki, después de que esta ciudad japonesa no invitara a Israel, según confirmó a EFE un portavoz de la ciudad. Tanto Longbottom como Rahm participaron en la ceremonia de la Paz en Hiroshima el día 6, sin embargo, se perderán ahora el encuentro en Nagasaki el día 9, ya que esta ciudad, a diferencia de la primera, ha decidido no invitar a Israel al encuentro.
319 meneos
2102 clics

Mata a tu vecino para salvar a tu país

Un joven negro ahorcado por pedirle un vaso de agua a una mujer blanca. Un hombre negro quemado vivo ante sus vecinos por mirar a otra mujer blanca. La excusa en muchas ocasiones eran supuestos crímenes que ninguna autoridad investigó ni juzgó. Bastaba con la palabra de un hombre blanco para convocar al pueblo, arrastrar al negro sospechoso hasta un árbol y colgarlo ante los aplausos de decenas de vecinos.
544 meneos
3033 clics

Si quedaba alguna duda de que los JJ.OO. están blanqueando a Israel y su genocidio en Gaza, aquí tenemos a Peter Paltchik, judoka ganador del bronce en esa disciplina y soldado activo de las FDI  

Paltchik saltó hace unos meses a la “fama” porque difundió en redes fotografías de los proyectiles que él mismo rubricaba y dedicaba contra territorio palestino, bombas que irían dirigidas contra la población, niñas y niños incluidos, de Gaza. Razón suficiente para su expulsión de los JJ.OO, cosa que nunca se produjo.
313 meneos
2827 clics
Aparece un cayuco con 14 esqueletos en la costa de República Dominicana

Aparece un cayuco con 14 esqueletos en la costa de República Dominicana

Los restos óseos corresponden a personas procedentes de África, concretamente de Senegal y Mauritania
364 meneos
387 clics
Turquía solicitará unirse a la causa por genocidio contra Israel en corte de la ONU

Turquía solicitará unirse a la causa por genocidio contra Israel en corte de la ONU

Turquía presentará el miércoles una solicitud ante un tribunal de Naciones Unidas para sumarse a la demanda de Sudáfrica contra Israel por genocidio, dijo un funcionario turco
584 meneos
4518 clics
Un vídeo filtrado muestra a soldados israelíes agrediendo sexualmente a un palestino detenido (EN)

Un vídeo filtrado muestra a soldados israelíes agrediendo sexualmente a un palestino detenido (EN)  

Las imágenes de las cámaras de vigilancia, difundidas por el Canal 12 de Israel, muestran cómo un grupo de soldados reservistas israelíes selecciona a un detenido entre más de 30 personas, que están tendidas en el suelo con los ojos vendados. Después, el detenido es llevado a un rincón.
358 meneos
3370 clics
El Defensor del Pueblo tiene que explicarle a Vox cuáles son sus funciones. "No sabía si estaban hablando conmigo, no estoy muy seguro".

El Defensor del Pueblo tiene que explicarle a Vox cuáles son sus funciones. "No sabía si estaban hablando conmigo, no estoy muy seguro".  

Comparecencia del defensor del pueblo, Ángel Gabilondo, que responde a dos diputados de Vox que piensan que están debatiendo con un miembro del gobierno en activo.
127 231 11 K 459 politica
127 231 11 K 459 politica
297 meneos
7909 clics
Ibiza se desangra

Ibiza se desangra

La isla balear afrontar uno de sus peores veranos en términos económicos.
348 meneos
2482 clics
Un perro sobrevive atado y abandonado en una casa hace un mes gracias a la ayuda de vecinos

Un perro sobrevive atado y abandonado en una casa hace un mes gracias a la ayuda de vecinos

La policía alegaba que no podía entrar por tratarse de una propiedad privada y carecer de orden judicial. Finalmente han entrado y lo han rescatado con la ayuda de los bomberos.
282 meneos
1362 clics
Un agujero de seguridad expone los datos de opositores de RTVE

Un agujero de seguridad expone los datos de opositores de RTVE

Son datos bancarios, documentos de identidad, certificados profesionales o comprobantes de pago. Es la información personal de múltiples candidatos a los exámenes de oposición de Radiotelevisión Española, que debido a un agujero de seguridad ha quedado expuesta dentro de la web que la empresa Tea Cegos S.A. creó para ofrecer diferente información de estos procesos de selección.
141 meneos
3948 clics
“Rechacé ‘Palabras para Julia’. Le gritaba a mi padre: ‘¡Me has hecho una desgraciada!”

“Rechacé ‘Palabras para Julia’. Le gritaba a mi padre: ‘¡Me has hecho una desgraciada!”

La hija de unos de los poetas más populares del siglo XX recuerda la relación con el autor (“Nunca me he vuelto a reír con nadie como con él”) y el impacto del famoso poema.
311 meneos
1863 clics
Varios investigadores piden que se prohíban en toda Europa las encimeras de piedra artificial como las de Cosentino

Varios investigadores piden que se prohíban en toda Europa las encimeras de piedra artificial como las de Cosentino

Tras certificar los primeros casos de silicosis por manipular este material en el Reino Unido, médicos especialistas proponen simultáneamente en varias publicaciones científicas que se proteja la salud de los trabajadores como han hecho las autoridades australianas desde principios de julio. Reino Unido se acaba de unir a la lista de países que, desde el año 2010, han notificado casos de silicosis cristalina en trabajadores de la industria... Rel.: old.meneame.net/story/australia-convierte-primer-pais-prohibe-encimera
516 meneos
1178 clics
Hace al PP entrar en pánico "La GC incautó en el maletero de un Mercedes 119.000 €"

Hace al PP entrar en pánico "La GC incautó en el maletero de un Mercedes 119.000 €"  

Mercedes González Fernández cuestionó a García Molina sobre varios casos de presunta corrupción que implican a miembros del PP en Almería. Durante su intervención, mencionó un expediente de Almería, calificado como escandaloso, y señaló que el 15 de julio de 2021, la Unidad Central Operativa (UCO) de la Guardia Civil había requisado toda la documentación relacionada con dicho expediente.
279 meneos
626 clics
Insólita situación política en Vegadeo: la oposición, con mayoría, votará hoy unida para rebajar a la mitad el sueldo del alcalde

Insólita situación política en Vegadeo: la oposición, con mayoría, votará hoy unida para rebajar a la mitad el sueldo del alcalde

PP, FAC e IU forzarán la inclusión en el pleno de hoy, miércoles, de una moción de FAC en la que se exige la rebaja del sueldo del Alcalde socialista, César Álvarez, "Mourelle", que pasará a ganar 23.400 euros brutos anuales frente a los 43.000 euros actuales por «sus ausencias constantes». El PSOE gobierna en Vegadeo en minoría. Tiene cinco de los once ediles de una corporación en la que también se sientan cuatro concejales del PP, uno de FAC y otro de IU. La convocatoria de la sesión de pleno ordinaria (20:00 horas), no prevé este punto en
264 meneos
852 clics
Detenidos en París 7 “cristianos españoles” por protestar contra la ceremonia de los JJ.OO

Detenidos en París 7 “cristianos españoles” por protestar contra la ceremonia de los JJ.OO

Siete personas que se presentaron como “cristianos españoles” fueron detenidas el lunes y llevados a comisaría en París. La acción consistió en un autobús con matrícula española con un estampado en su carrocería en el que destacaba el mensaje ‘Stop attacks on Christians’ (basta de ataques a los cristianos) que estuvo circulando por las calles de la capital francesa. En Francia, participar en una manifestación no declarada está sancionado con una multa. Más grave es organizar una manifestación sin informar a la autoridad.
207 meneos
1928 clics
Envío erróneo o controvertido, por favor lee los comentarios.
Invitación

Invitación  

Viñeta satírica de Manel Fontdevila: Invitación. Diez meses después, Israel intenta arrastrar a Irán a la guerra que empezó en Gaza,
78 129 10 K 464 ocio
78 129 10 K 464 ocio
125 meneos
678 clics
Un diminuto húmero fosilizado da nuevas pistas sobre el origen del ‘hobbit’ de la isla de Flores

Un diminuto húmero fosilizado da nuevas pistas sobre el origen del ‘hobbit’ de la isla de Flores

Fósiles descubiertos en esta isla indonesia indican que algunos de los primeros homininos eran aún más pequeños de lo que se pensaba. Los restos datan de hace unos 700.000 años y aportan nueva información sobre la evolución del Homo floresiensis. La isla de Flores fue hogar de unos homininos, denominados Homo floresiensis, inusualmente pequeños, conocidos popularmente como hobbits, que medían alrededor de un metro de altura y vivieron hace unos 60.000 años.
331 meneos
1023 clics
El nuevo bloqueo del CGPJ tras el pacto entre PP y PSOE dispara el enfado de los aliados de Sánchez

El nuevo bloqueo del CGPJ tras el pacto entre PP y PSOE dispara el enfado de los aliados de Sánchez

Podemos, ERC o, incluso, Sumar, el socio minoritario del Gobierno de coalición, no ocultan su malestar por el nuevo escenario de disputa dentro del Consejo, aunque nos les sorprende: "Sigue pendiente una democratización de la justicia".
273 meneos
1805 clics

Elon Musk se querella contra anunciantes a los que denuncia de boicot

El magnate Elon Musk se querelló este martes en la justicia contra un grupo de anunciantes y varios grupos empresariales a los que acusa de causarle miles de millones de dólares en pérdidas a X al boicotear "ilegalmente" a la red social.
750 meneos
1296 clics
La pareja de Ayuso modifica las cuentas de su empresa tras su intento fallido de regularizar su fraude fiscal

La pareja de Ayuso modifica las cuentas de su empresa tras su intento fallido de regularizar su fraude fiscal

Su consultora factura un 79% más en 2023, pero tras intentar regularizar el fraude fuera de plazo en julio de 2023, el beneficio récord que declaró inicialmente en 2022 se convierte en unas pérdidas de 101.489 euros
707 meneos
5252 clics
Envío erróneo o controvertido, por favor lee los comentarios.

La hija de Elon Musk lo deja desnudo  

La hija de Elon Musk: "Entiendo que tu nuevo ángulo es esta cosa de "valores occidentales/ hombre de familia cristiano" pero es una elección tan rara. No eres un hombre de familia, eres un adúltero en serie que no para de mentir sobre tus propios hijos. No eres cristiano, que yo sepa nunca has pisado una iglesia. No eres un "bastión de la igualdad/progresismo". Usted llamó al árabe la lengua del enemigo cuando yo tenía 6 años, ha sido demandado por discriminación varias veces, y forma parte del apartheid". [Eng]
467 meneos
581 clics
El PSPV denunciará en la Fiscalía al líder de Vox en València por difundir el bulo que culpaba a un migrante de un asesinato

El PSPV denunciará en la Fiscalía al líder de Vox en València por difundir el bulo que culpaba a un migrante de un asesinato

El pasado 31 de julio, después del crimen, el concejal ultra dijo, entre otras cosas, que la víctima "no habría dejado de existir si su presunto asesino no hubiera entrado en España"
379 meneos
483 clics
El sindicato mayoritario de seguridad privada en Catalunya firma también un acuerdo con Desokupa

El sindicato mayoritario de seguridad privada en Catalunya firma también un acuerdo con Desokupa

ADN Sindical Seguridad y Servicios de Catalunya, el sindicato profesional mayoritario dentro del sector de la seguridad integral en la comunidad, ha cerrado un acuerdo de colaboración con Club Desokupa para instruir en defensa personal a sus afiliados. Así lo ha anunciado el sindicato a través de su perfil en la red social X este martes, donde ha justificado la decisión "por la calidad de los formadores y la necesidad de formar a los compañeros de seguridad ante el aumento de violencia en Barcelona".
169 meneos
966 clics
Las tallas de Göbekli Tepe podrían ser el calendario más antiguo del mundo (ENG)

Las tallas de Göbekli Tepe podrían ser el calendario más antiguo del mundo (ENG)  

Los expertos sugieren que las marcas en un pilar de piedra en el sitio arqueológico de Göbekli Tepe, de 12.000 años de antigüedad, probablemente representen el calendario solar más antiguo de la historia, ya que se estableció como un monumento conmemorativo del catastrófico impacto de un cometa...Un nuevo análisis de los símbolos en forma de V tallados en los pilares del sitio ha descubierto que cada V podría representar un solo día.

menéame